Оздоровление стада КРС
Проводят следующими способами:
- систематически выполняют диагностические исследования с выделением больных животных или целых неблагополучных групп с последующим их убоем;
- единовременно осуществляют полную замену поголовья неблагополучного стада (фермы) здоровыми животными.
В обоих случаях обязательно проведение комплекса организационно-хозяйственных и ветеринарно-санитарных мероприятий, предусмотренных инструкцией.
Единовременную полную замену поголовья осуществляют, когда туберкулез впервые установлен в районе, области, республике, и при значительной распространенности болезни в стаде (заболевание более 15 % поголовья).
При заболевании туберкулезом менее 15 % поголовья стада оздоровление может проводиться методом систематических исследований и убоя больных животных. Всех животных с 2-месячного возраста через каждые 45…60 дней исследуют двойной внутрикожной туберкулиновой пробой. Одновременно исследуют на туберкулез имеющихся в хозяйстве животных других видов (в том числе собак и кошек). Реагирующих на туберкулин животных признают больными, метят, изолируют и в течение 15 дней сдают на убой.
При установлении в свиноводческих хозяйствах туберкулеза свиней (бычий или человеческий вид возбудителя) всех реагирующих на туберкулин животных, в том числе супоросных свиноматок, хряков, откормочное поголовье, сдают на убой. По завершении опоросов и откорма молодняка сдают на убой всех животных фермы — не позже 6мес с момента постановки диагноза на туберкулез. После проведения комплекса ветеринарносанитарных мероприятий с фермы снимают ограничения.
Симптомы туберкулеза костей и суставов
Вместе с кровью или лимфой микобактерии попадают в костные ткани, начинают усиленно размножаться. Образуются специфические гранулемы.
Вскоре они сливаются друг с другом, костные ткани некротизируются, развивается остеопороз (размягчение кости).
Зачастую недуг поражает позвоночный столб, тазобедренный, коленный суставы. Остальные части скелета страдают редко.
Туберкулез позвоночника (туберкулезный спондилит) – при отсутствии медицинской помощи этот недуг влечет за собой потерю трудоспособности пациента, паралич.
Начинается заболевание с поражения одного позвонка. В скором времени болезнь поражает близрасположенные костные отростки.
Происходит искривление позвоночного столба (сколиоз), вырастает горб (кифоз), это ведет к серьезным осложнениям.
В большинстве случаев диагностируют поражение грудного и поясничного отделов позвоночника.
Симптомы туберкулеза
К наиболее распространенным симптомам туберкулеза, если болезнь протекает не бессимптомно, относятся:
- Кашель;
- Температура (>37 градусов);
- Потеря веса;
- Лихорадка, ночной пот.
Диагностировать туберкулез самостоятельно невозможно, как и догадаться о заражении микобактериями. Обычно пациенты жалуются на «в целом плохое самочувствие».
Кашель при туберкулезе – регулярный, наиболее интенсивный утром после пробуждения, непродуктивный, с желтой или зеленой мокротой. На более поздней стадии кашель усиливается, становится продуктивным, в нем появляются примеси крови (но только при кавернозном туберкулезе из-за гранулематозного повреждения сосудов или присоединившейся грибковой инфекции).
Диагностика туберкулеза возможна по результатам рентгенографического обследования, цианобактериальных мазков, кожной пробы. Прецизионная диагностика туберкулезных поражений легочной ткани (локализация, плотность инфильтратов) возможна только на компьютерной томографии.

Течение и симптоматика: туберкулез у КРС и свиней
Длительность инкубационного периода при туберкулезе колеблется от 2 до 6 нед. Туберкулез у свиней и КРС протекает хронически или латентно. Поэтому клинические признаки болезни могут появляться через несколько месяцев или лет после инфицирования.
Туберкулезные поражения обычно обнаруживают лишь при послеубойном осмотре органов, а появление клинически выраженных форм свидетельствует о длительном течении болезни.
Клинические признаки туберкулеза весьма разнообразны даже у одного и того же животного. По месту локализации патологического процесса различают: легочную, кишечную формы туберкулеза; встречаются также поражения вымени, серозных покровов (жемчужница), генитальная форма и генерализованный туберкулез.
У крупного рогатого скота при туберкулезе чаще поражаются легкие и туберкулезный процесс протекает хронически. У молодых животных — остро и подостро.
Для туберкулеза легких характерен сильный сухой кашель, усиливающийся при вставании животного или вдыхании холодного воздуха; температура может повышаться до 39,5…40°С. Аппетит и продуктивность в начальном периоде не понижены. При прогрессировании болезни проявляются признаки воспаления легких и плевры. Кашель становится болезненным, дыхание затрудненное и сопровождается стонами. В грудной клетке прослушивают хрипы, при перкуссии — участки притупления. Поражение молочной железы характеризуется увеличением надвыменных лимфатических узлов. Во время доения выделяется водянистое молоко с примесью крови или творожистой массы.
При поражении половых органов у коров отмечают усиление половой охоты, яловость, у быков — орхиты. А при генерализованном туберкулезе у КРС поверхностно расположенные лимфатические узлы (нижнечелюстные, заглоточные, надвыменные, коленной складки) увеличиваются и становятся бугристыми.
Туберкулез у свиней протекает бессимптомно.
Иногда наблюдается увеличение нижнечелюстных и заглоточных лимфатических узлов. При обширных поражениях легких возникают кашель, рвота, затрудненное дыхание.
У длительно больного туберкулезом крупного рогатого скота лимфатические узлы грудной полости поражаются в 100 % случаев, легкие — в 99, кишечник — в 10%.
Признаки туберкулеза костей и суставов
Выделяют три этапа развития туберкулеза костей:
- предартритная. При надавливании на пораженный участок тела возникает боль. Сгибание и разгибание конечности производится в несколько этапов, это сопровождается неприятными ощущениями. Наблюдается незначительное ухудшение самочувствия: утомляемость, слабость, нервозность. При визуальном осмотре видимых изменений в области поражения не наблюдается.
- артритная. Субфебрильная температура тела. Инфицированная кожа напряжена, отечна, становиться гладкой, блестящей. Наблюдается болезненность и покраснение. При поражении коленного сустава больной начинает хромать. Ярко выражены признаки интоксикации: повышение температуры тела, потливость, слабость, бессонница, снижение аппетита.
- постартритная. Сустав полностью деформирован. Пораженная конечность укорочена, ее мышцы атрофированы. Признаки воспаления стихают, температура тела нормализуется, боль локализуется в пораженном органе.
Туберкулез: причины и этиология заболевания
Туберкулез — инфекционное заболевание человека и животных, вызываемое различными микобактериями из группы Mycobacterium tuberculosis complex (палочки Коха). Инфицированность этими бактериями довольно широко распространена, особенно среди жителей мегаполисов: палочки Коха могут жить в уличной и домашней пыли до 1 года, а в тепле, при высокой влажности и без света — более 5 лет. Носителем микобактерий теоретически может быть практически каждый человек, однако в норме иммунитет человека в состоянии подавить инфекцию. Болезнь развивается при низком иммунном статусе. Люди являются основным носителем туберкулезных бактерий, а внутренние органы, и особенно легкие, — благоприятной средой.
Сегодня лишь 5-10% инфицированных заболевают туберкулезом в течение жизни. Риск возрастает в том случае, если у больного в анамнезе есть:
- Сахарный диабет;
- Язвенная болезнь желудка;
- ВИЧ-инфекция.
Туберкулезом чаще всего заболевают курящие и пьющие люди, дети и подростки. Также болезнь развивается в тяжелых социальных условиях, при переработках, стрессе, безработице.

Микроскопические капли жидкости с палочками Коха могут находиться и циркулировать с воздухом в помещении. В этой связи заболевание легко переносится воздушно-капельным путем. Особенно заразны больные с туберкулезными кавернами в легких, поскольку вирусная нагрузка на организм таких пациентов особенно велика. Но заразность туберкулеза также варьируется в зависимости от конкретного вида возбудителя (наиболее опасными считаются некоторые штаммы M. tuberculosis) и стадии инфекции.
Врачи выделяют три стадии туберкулеза:
- Первичная;
- Латентная;
- Активная.
Туберкулез не передается на первичной стадии. Палочки вида M. tuberculosis провоцируют развитие туберкулеза, протекающего преимущественно в латентной стадии — без острых и ярко выраженных симптомов. Иногда на второй стадии у больного возникают кашель, субфебрильная температура, лихорадка. Однако заразность туберкулеза быстро снижается в течение 14 дней с момента начала эффективного лечения.
Иммунная система организма человека только спустя 3 недели после инфицирования и активного размножения микобактерий начинает подавлять их рост. Происходит это прежде, чем проявляются клинические симптомы заболевания. Однако в это время в легких формируются гранулемы с казеозными и некротическими очагами. В такой форме туберкулез может жить в организме человека годами.
Согласно мнению экспертов ВОЗ, в среднем каждый невылеченный пациент может заразить от 10 до 15 человек в течение
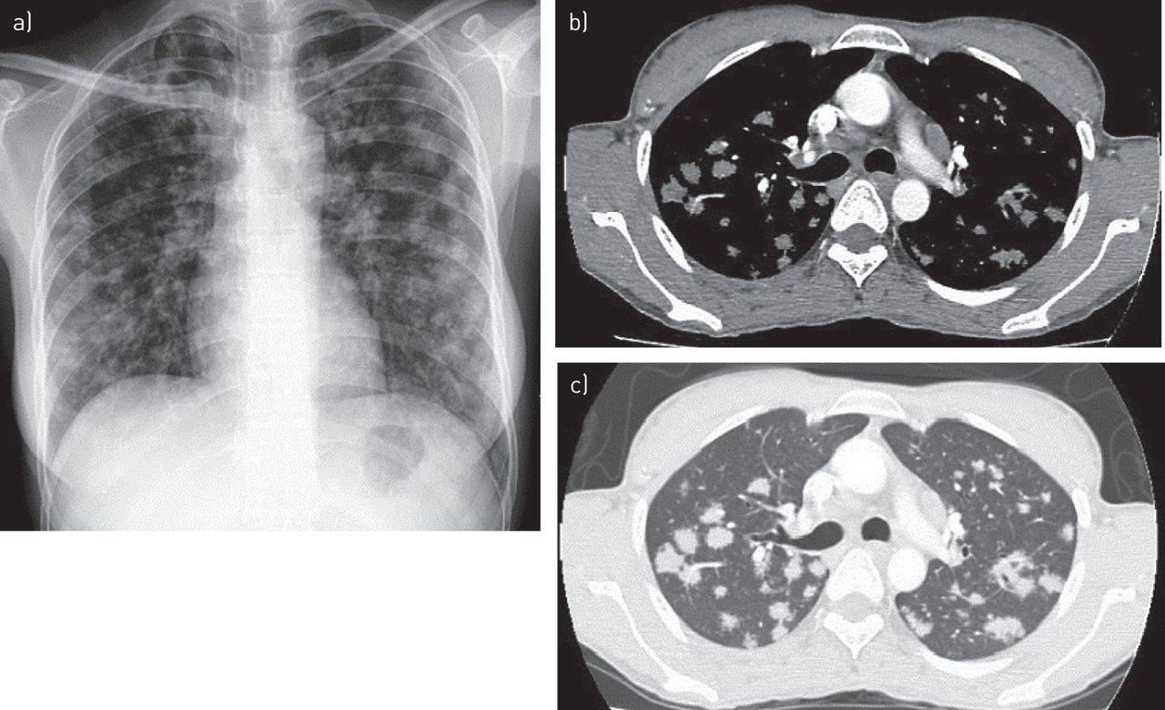
Виды туберкулеза легких: КТ-картина
КТ легких не показывает конкретного возбудителя туберкулезной инфекции из класса микобактерий, однако показывает изменения в легких которые не видны на обычном рентгене или флюорографии из-за сравнительно низкой разрешающей способности последних, неполного обзора, эффекта наложения теней, который искажает результаты диагностики.
По специфической КТ-картине рентгенологи определяют следующие виды туберкулеза:
- Туберкулез внутригрудных лимфатических узлов (синдром инфильтрации корня легкого и синдром полициклически измененного корня легкого) — бактериальное поражение лимфатических узлов грудной клетки и средостения, поражение легких при этом отсутствует.
- Милиарный туберкулез (синдром милиарной диссеминации) — характеризуется наличием множественных просовидных бугорков в легких, расположенных сравнительно равномерно.
- Диссеминированный туберкулез легких —множественные очаги туберкулеза в обоих легких имеют разную величину и расположены диффузно.
- Очаговый туберкулез —характеризуется наличием одиночных или множественных очагов до 1 см в диаметре. Если очагов несколько, то расположены они в одном месте.
- Инфильтративный туберкулез легких —характеризуется наличием бронхо-пневмонического воспаления, формирования участка инфильтрации легочной ткани, более 1 см в диаметре.
- Кавернозный туберкулез легких —характеризуется формированием полости деструкции, распада легочной ткани в следствии запущенного инфекционного процесса, так называемой каверны круглой или овальной формы.
- Фиброзно-кавернозный туберкулез —наряду с кавернами в легких присутствуют признаки фиброза, который является агрессивной ответной реакцией организма на воспаление и деформирует матрикс легкого в легких формируются туберкулезные рубцы).
Заболевание может протекать в острой или хронической форме.
Первичный туберкулезный комплекс (ранняя стадия заболевания) характеризуется наличием очага или их группы в легких, увеличением лимфоузлов. На КТ с одной или, чаще всего с обеих сторон в долях легких визуализируются уплотнения – сравнительно более светлого цвета, чем вся легочная паренхима, имеют специфическую, отличную от легочного матрикса, сосудов и бронхов форму.

Ежегодная профилактическая флюорография — быстрое, доступное и, безусловно, полезное обследование. Но данный рентгенографический метод, изобретенный в первой половине XX века с наибольшей вероятностью покажет туберкулез «в общем» и на более поздних стадиях. Поэтому более предпочтительным методом диагностики туберкулеза сегодня считается скрининговая низкодозная КТ легких (МСКТ легких).
Преимущества КТ перед другими рентгенологическими методами обследования:
- Показывает изображение аксиальной плоскости, позволяет воссоздать детализированную аутентичную 3D-модель легких больного, что недоступно при флюорографии и рентгене;
- Позволяет достоверно оценить плотность, размер, форму инфильтратов; определить объем туберкулезного поражения легких;
- Расширяет возможности внутривенного контрастирования для оценки мягких тканей, грудных артерий, лимфоузлов;
- Есть возможность денситометрической обработки изображения.
Симптомы туберкулеза позвоночника
Различают три фазы развития болезни:
- предспондилитическая. Признаки болезни выражены слабо. Инфекционный процесс в самом начале развития. Больной отмечает вялость, слабость, быструю утомляемость. Неприятные ощущения в области позвоночного столба, быстро проходящие во время отдыха.На этом этапе мало кто обращается к врачу и болезнь прогрессирует.
- спондилическая. Появляются частые поясничные боли, скованность в движении. Постоянное напряжение мышц спины, из-за болевого синдрома, изменяет походку больного, заставляет чаще отдыхать. Мышечный каркас спины ослабевает, искривляется осанка. Возникают боли в спине в ночное время.
- постспондилическая фаза. Ярко выражены изменения позвоночника (кифоз или сколиоз), сильная атрофия мышц, непрекращающиеся боли в спине, наличие осложнений со стороны других органов и систем.
Лечение туберкулеза костей и суставов
Схема лечения разрабатывается на основании диагностических данных, визуального осмотра.
Больного необходимо настроить на длительный и малоприятный процесс восстановления здоровья.
Совместными усилиями медиков и пациента необходимо добиться следующих результатов:
- Остановить инфекционный процесс;
- Предотвратить дальнейшее разрушение костной и суставной ткани;
- Добиться полного уничтожения очага поражения;
- Восполнить иммунодефицит организма больного.
Лечение проходит сначала в стационаре, затем на дому. Химиотерапия включает в себя два ряда препаратов – основной и резервный.
В состав основного входят наиболее эффективные лекарства. Они малотоксичны и практически не вызывают побочные действия.
В резервный ряд включены высокотоксичные препараты, их назначают при непереносимости медикаментов основного состава.
Микобактерии быстро вырабатывают устойчивость к медикаментам, поэтому назначают 3-4 препарата одновременно.
Принимать лекарства необходимо строго по часам, не прерывая лечения. Терапевтический курс длиться год, или чуть больше.
Противотуберкулезные лекарства, при длительном применении, могут вызвать нарушения функций печени. Поэтому обязателен прием гепатопротекторов.
Для удаления последствий интоксикации организма назначают комплексы витаминов, высококалорийную диету, иммуномодуляторы.
Пораженную конечность необходимо иммобилизировать — для предотвращения дальнейшей деформации кости и снижения воспаления.
При этом используют разномастные корсеты, шины лангетки, гипсовые повязки.
Детей с туберкулезным очагом в позвоночнике укладывают в гипсовые кроватки.
В ходе лечения болезни показано хирургическое вмешательство разной степени сложности:
- Пункция — производят прокол гнойного очага инфекции, удаляется его содержимое, полость обрабатывается антибиотиками.
- Некрэктомия — удаляются омертвевшие мягкие ткани.
- Резекция кости – иссекается и удаляется часть кости, подвергшаяся разрушению.
- Ампутация – удаление кости или сустава при их полном разрушении.
- Эндопротезирование – замена пораженного сустава протезом.
- Вживление трансплантатов или металлических конструкций.
Если форма туберкулеза в неактивной фазе (больной не заразен), дальнейшее лечение проводиться на дому.
Назначают лечебную гимнастику, физиотерапевтические процедуры, длительные прогулки.
В дальнейшем желательно санаторно-курортное лечение.
Текст подготовил

Котов Максим Анатольевич, главный врач центра КТ «Ами», кандидат медицинских наук, доцент. Стаж 19 лет
Список источников
- Котов М.А. Опыт применения компьютерной томографии в диагностике заболеваний органов дыхания у детей / Материалы X Невского радиологического Форума (НРФ-2018). – СПб., 2018, Лучевая диагностика и терапия. 2018. № 1 (9). — С. 149.
- Панов А.А. Пневмония: классификация, этиология, клиника, диагностика, лечение, 2020.
- Бова А.А. Пневмонии: этиология, патогенез, клиника, диагностика, 2016.
- Chl Hong, M.M Aung , K. Kanagasabai , C.A. Lim , S. Liang , K.S Tan. The association between oral health status and respiratory pathogen colonization with pneumonia risk in institutionalized adults, 2018.
- Yang-Pei Chang, Chih-Jen Yang, Kai-Fang Hu, A-Ching Chao, Yu-Han Chang, Kun-Pin Hsieh, Jui-Hsiu Tsai, Pei-Shan Ho, Shen-Yang Lim. Risk factors for pneumonia among patients with Parkinson’s disease: a Taiwan nationwide population-based study, 2016.
- Клинические рекомендации по диагностике, лечению и профилактике тяжелой внебольничной пневмонии у взрослых. Министерство здравоохранения РФ, 2019.

























































